Implant custom-made
Taki zabieg odbył się po raz pierwszy w Małopolsce! Dr hab. n. med. Henryk Liszka z O/K Ortopedii i Traumatologii Szpitala Uniwersyteckiego wraz z zespołem, korzystając z doświadczeń światowej sławy lekarza gwiazd – prof. Niek Van Dijka, przeprowadzili zabieg wszczepienia implantu stawu skokowego. Na czym jednak polegała wyjątkowość tej operacji?
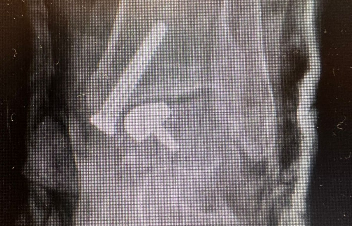
- Był to implant opracowany i dedykowany dla danego Pacjenta. Można powiedzieć, że „szyty dla niego na miarę”, na podstawie wykonanych wcześniej badań obrazowych TK i MR. Dzięki temu można było dokładnie odwzorować kształt prawidłowej budowy anatomicznej tego pacjenta, co pozwoliło na optymalne dopasowanie implantu. W efekcie przełoży się to na lepszy wynik kliniczny i trwałość elementu – tłumaczy dr hab. Henryk Liszka.
Wyjaśnia również, że technologia ta, nazwana PSI – Patient-Specific Instrumentation – obejmuje nie tylko opracowanie samego implantu, ale również wszystkich narzędzi, które będą używane do jego wszczepienia, ponieważ mamy do czynienia z jednostkowym, niestandardowym materiałem.
- Zabieg ten był pewnym rodzajem artroplastyki, ponieważ wszczepialiśmy coś sztucznego, natomiast był niezmiernie mało inwazyjny, ponieważ nie zastępowaliśmy całego stawu, tylko naprawialiśmy lokalne uszkodzenie. Tłumacząc to obrazowo – to tak jakby zrobić plombę w zębie, zamiast zakładać cała koronę. A do tego wszystko custom-made – mówi dr hab. Liszka.
Niedługo po zakończeniu zabiegu, dr hab. Henryk Liszka wyjechał do Stanów Zjednoczonych, gdzie występuje w roli wykładowcy i reprezentanta Europejskiego Towarzystwa Chirurgii Stopy i Stawu Skokowego (EFAS), podczas Głównego Kongresu Amerykańskiego Towarzystwa Stopy i Stawu Skokowego-Goleniowego.







